Prostat Kanserinde Devrim: Multiparametrik MR ile Erken ve Kesin Tanı
Prostat kanseri, erkeklerde en sık görülen kanser türüdür. Geleneksel yöntemlerin ötesine geçen Multiparametrik Prostat MR, prostat kanserinin erken teşhisinde ve doğru evrelendirilmesinde çığır açıyor. Ağrısız ve radyasyonsuz bu yöntem, gereksiz biyopsilerin önüne geçerken, hedefe yönelik tedavi planlamasında önemli avantajlar sunuyor.

Multiparametrik Prostat MR Görüntüleme ve Prostat Kanseri Tanısındaki Önemi
Prostat bezi, erkeklerde mesane çıkışında yer alan ve yaklaşık 20-30 gram ağırlığında olan bir salgı bezidir. Erkeklerde en sık kanser gelişen organlardan biridir. İyi huylu prostat büyümesi, prostatit ve skar dokuları gibi durumlar, prostat kanseri ile karışabilmektedir. Tanıda altın standart olan prostat biyopsisi, hedefe yönelik olmaması nedeniyle her zaman yeterli bilgi sağlayamamaktadır. Bu noktada, Multiparametrik Prostat MR (mp-MR), prostat kanserinin saptanması ve evrelemesinde en etkin tanı yöntemlerinden biri olarak öne çıkmaktadır.
Bu yöntemin temelini, Prostat Görüntüleme, Raporlama ve Veri Sistemi (PI-RADS) oluşturur. PI-RADS, kanserli lezyonların saptanması, lokalizasyonu ve karakterizasyonunu sağlar.
Prostat Büyümesi ve Kanser Riski
Genellikle 50 yaşından itibaren erkeklerde prostat büyümesi başlar. 30’lu yaşlarda görülen büyümeler ise çoğunlukla iltihap kaynaklıdır. Yaşla birlikte hormonal değişimlerin etkisiyle, özellikle testosteron düzeylerinin azalması ve östrojenin artmasıyla, prostat bezinde adenomlar oluşabilir. Bu durum, idrar kanalında tıkanmaya ve zor idrara çıkma, kesik kesik idrar yapma gibi şikâyetlere yol açar. İleri safhalarda böbrek yetmezliğine kadar ilerleyebilir.
Prostat Kanseri: Sıklık, Belirtiler ve Risk Faktörleri
Prostat kanseri, erkek kanserlerinin %25’ini oluşturur ve her 6 erkekten biri yaşamı boyunca bu hastalığa yakalanır. En az %75’i, prostatın periferal zonundan kaynaklanır. Doğru evreleme sayesinde minimal cerrahiyle daha az yan etkiyle tedavi mümkündür.
Risk faktörleri arasında yaş, aile öyküsü ve hayvansal yağlardan zengin beslenme yer alır. Kanser çoğu zaman belirti vermez; fakat bazı hastalar idrar yapma güçlüğü, semende veya idrarda kan, bel/sırt/uyluk ağrıları gibi şikayetlerle başvurabilirler. Ancak bu belirtiler, iyi huylu büyümeler veya enfeksiyonlarla da ilişkili olabilir.
PSA Takibi ve Erken Tanının Önemi
50 yaşından itibaren erkeklerin Prostat Spesifik Antijen (PSA) testini düzenli yaptırmaları önerilir. PSA düzeyi yaşa göre değişir ve yüksek olması kanserin işareti olabilir; ancak her yüksek PSA, kanser anlamına gelmez. Örneğin, enfeksiyon veya iyi huylu büyüme de PSA’yı yükseltebilir.
PSA değerindeki hızlı artış (yılda 0.75 ng/ml’den fazla) biyopsi gerektirebilir. Ne var ki, PSA testinin doğruluk oranı %36’dır; yani normal PSA seviyelerinde bile yaklaşık %10 oranında prostat kanseri bulunabilir. Bu nedenle PSA testleri tanıda tek başına yeterli değildir.
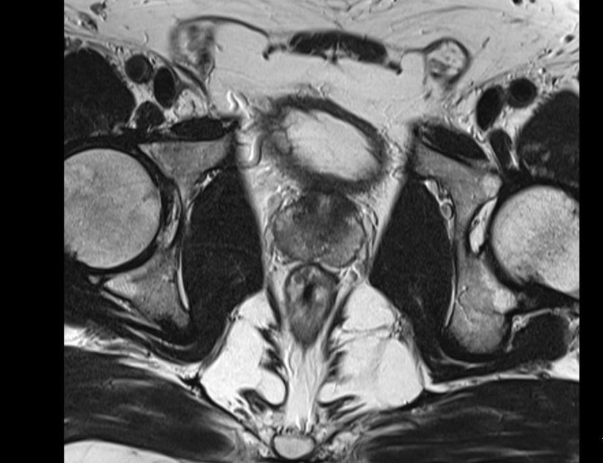
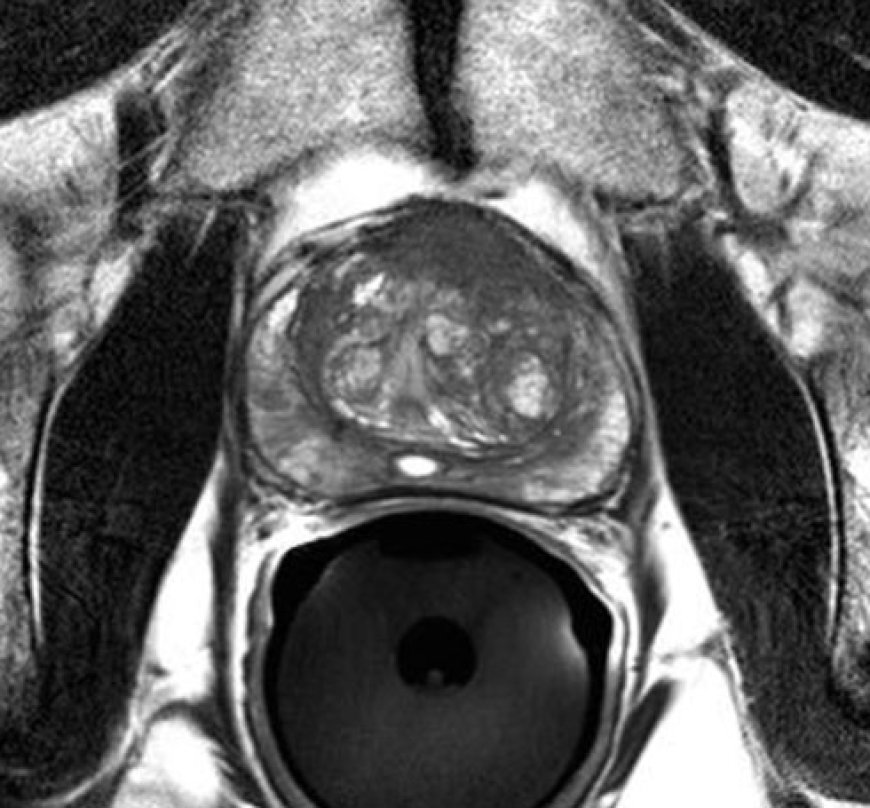
Multiparametrik Prostat MR Nedir?
Multiparametrik Prostat MR, prostatın anatomik ve fonksiyonel özelliklerini aynı anda değerlendiren gelişmiş bir görüntüleme yöntemidir. Üç farklı MR sekansı bir arada uygulanır:
-
Diffüzyon MR: Hücre yoğunluğunu ölçer. Kanserli dokular yoğun olduğundan düşük ADC değeri gösterir. Gleason skoru ile doğrudan ilişkilidir.
-
Perfüzyon MR: Doku kanlanmasını inceler. Tümörler, yeni damarlar oluşturdukları için yüksek damarlanma gösterir.
-
MR Spektroskopi: Hücresel düzeyde kimyasal analiz sağlar. Kanserli dokuda kolin artışı gözlenir.
Bu çekimler sırasında radyasyon kullanılmaz ve işlem genellikle 40-45 dakika sürer. Endorektal anten kullanılmadığı için hastalar ağrı hissetmezler.
PI-RADS Skorlama Sistemi
MR sonrası lezyonlar PI-RADS 1’den 5’e kadar puanlanır:
-
PI-RADS 1-2: Klinik olarak önemsiz
-
PI-RADS 3: Takip önerilir
-
PI-RADS 4-5: Kanser şüphesi yüksek, biyopsi önerilir
Bu sistem sayesinde, gereksiz biyopsilerin önüne geçilirken, hedefe yönelik biyopsi yapılması sağlanır.
MR-TRUS Füzyon Biyopsisi: Yeni Nesil Tanı Yöntemi
Geleneksel TRUS biyopsileri körleme yapılırken, MR-TRUS füzyon biyopsisi, MR görüntülerini TRUS ile birleştirerek hedefe yönelik örnekleme sağlar. Bu yöntem, %81 oranında doğru tanı sağlarken, klasik yöntemde bu oran %40’ta kalmaktadır.
Sonuç: Erken Teşhis Hayat Kurtarır
Özellikle ailesinde prostat kanseri öyküsü bulunanlar ve 50 yaş üzeri erkeklerin düzenli kontrollerini yaptırmaları büyük önem taşır. Prostat kanseri 70 yaş üzerinde %50, 90 yaş üstünde ise %100 oranında mikroskobik düzeyde tespit edilebilir. Ancak erken teşhisle 5 yıllık sağkalım oranı %100’dür.
Unutmayın, erken teşhis hayat kurtarır.
Tepkiniz Nedir?






